
入れ歯で顔が老けたり若返ったり
入れ歯は顔の一部です
しかし、噛むだけが入れ歯の役目でしょうか?
総入れ歯を作るときいつも考えることがあります。
それは、治療する患者さんが・・・
歯が揃っていた頃はどんな顔をしていたのだろうか?・・・ということです。
入れ歯で若返ることをあきらめていませんか?

低い入れ歯を装着した時の顔が老けて見えます

適正な高さの 入れ歯にしました
私のところにいらっしゃる患者さんの多くは、 上手に作られた入れ歯を入れていらっしゃい ます。しかし、入れ歯を長年使ってきたため、 顎が痩せ人工の歯が磨り減って咬み合わせ が低くなっていることがよく見受けられます。
入れ歯が低いと顔はどのように変化するのでしょうか。・貧相な口元。
・歯が見えない。
・クシャとした顔つき。
・唇は内側にめくれこみ幅が狭い。
・唇の角が下がり不満気な顔つき。
・唇の角にびらんが起こりやすい。
・下あごが前に突き出てくる。
・口の周りのしわが深くなる。
このように顔が、老けて見えます。
また、口の機能も衰えてきます。
・噛む力が弱い。
・舌の動きが悪くなり、発音が不明瞭。
・食べ物が飲み込みにくくなり、一部の食品を
避けるようになる。
・舌が奥に押し込められるのでいびきをかく。
患者さんはこのことに気がつかずあきらめて しまっていることがよくあります。このように考えていくとただ「痛くなく噛める入れ歯」だけで満足しますか?
日中は入れ歯は顔の一部です。入れ歯で噛むのは一日の中でわずか十数分なのです。 深川歯科は患者さんが自分の元の顔を取り戻す治療を取り入れていますので紹介します。 咬み合わせを上げることで、「若返る」ことができるのです。

頭の骨を基準に入れ歯の高さを修正し決定します。
歯科医にとって咬み合わせの高さを決めることは大変難しいことです。 低い入れ歯の方が患者さんに受け入れられやすいからです。
私は入れ歯の状態が適正かどうか客観的に評価する方法を診療に取り入れ、積極的に咬み合わせを適正な高さに戻す治療を行っています。
頭の骨や顔の輪郭を分析することで理想の咬み合わせの高さを知ることができます。 鼻・上下の唇・下あごといった顔面上の任意の点や高さを計測して理想的な位置を調べるのです。

口の周りのしわが 深くなっています

唇に緊張感がでて 顔が面長になりました
左の写真の患者さんの下あごには奥歯しか残っていません。そのため、奥にある歯で噛もうとするくせのため下あごは前に出てしまいました。
分析から咬み合わせを7mmあげました
唇に緊張感がでて顔が面長になりました。もともと面長だったそうですが、歯を失って長い間に咬み合わせが少しずつ低くなってしまったのです。古い入れ歯と比べて7mmも咬み合わせを上げました。
面長の顔つきの人は最初の入れ歯で咬み合わせを元通りに上げることが可能です。
しかし、がっちりした顔つきの人の咬み合わせを上げることは難しいこともあります。何回かに分け時間をかけゆっくりと咬み合わせを上げていきます。
審美性を考慮した入れ歯を装着した時の効果
適正な咬み合わせの高さを決め歯を並べることで、口元に張りがでて顔が若返ります。
古い入れ歯では引っ込んでいた前歯を、分析に従って適正に位置を変えるとしわが浅くなります。
噛む筋肉が活性化されて力がよみがえり、硬い食べ物が食べられるようになります。
昔の顔を取り戻し、生き生きとした生活がよみがえり積極性がでてきます。

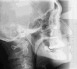
古い入れ歯を装着 した時のX線写真

古い入れ歯では 下あごは前に出ています (黒線)

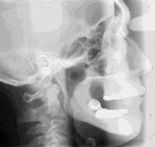
新しい入れ歯が入りました 下の親知らずが上の 奥歯と離れています

新しい入れ歯を 入れたときの変化 (赤い線)
Copyright © 2000 -
· All Rights Reserved FUKAGAWA DENTAL OFFICE