
ぶつけて歯が抜けてしまいました
最近は、住環境の変化で家庭内だけでなく階段や道路に硬い材料が使用 されているため、転んでひどい怪我をする子が増えています。 歯が抜けた時とっさにどうしたらよいか迷うものです。 ここでは事故が起こってから治療が終わるまでの流れを実際の例で説明 します。下を参考に落ち着いて対処してください。
ぶつけて前歯が2本抜けました

歯は牛乳を入れたフィルム ケースに入れて運びました
抜けた歯は乾燥させないで
抜けた歯は乾燥させないように牛乳に浸すか、
ガーゼなどに包み保護者が口の中に入れて運びましょう。 歯が乾燥した状態では、約18分で根の周りの歯根膜が死んでしまい 治療が難しくなりますから決して乾燥させないでください。ドリンク類は酸性なので抜けた歯を入れないでください。フィルムケースや薬ビンが歯を入れるのに適しています。歯肉から出血している時は清潔なガーゼ等で軽く押さえてください。
歯科医へ急げ!!
出来るだけ早く歯科医へ行きましょう。
抜けてから30分以内なら歯は元通りになる可能性が高いのです。2時間以上たつと歯根膜が死んでしまい治療がうまくいきません。治療後に歯と骨が癒着したり根が溶けてしまいます。

保存液のなかで歯の汚れをとります

もとの位置へ歯を戻します

歯の神経の治療をして 戻すこともあります

7針縫いました

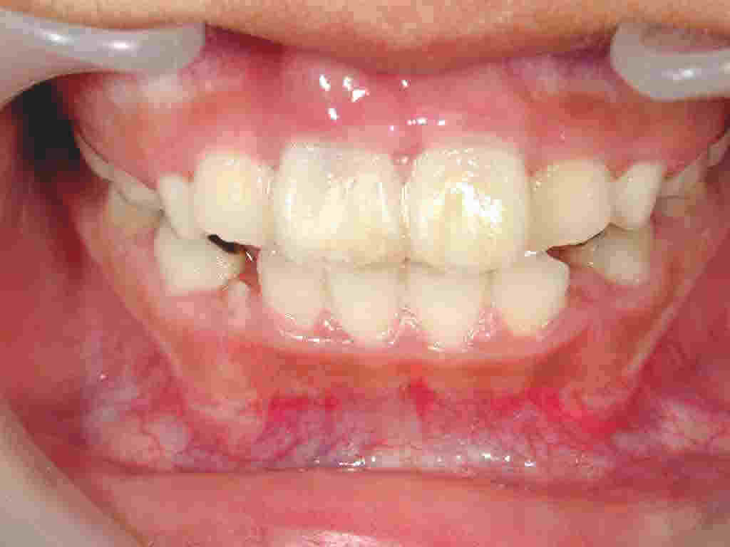
きれいに治りました
歯科医院では
いつ、どこで、どのようにして起こったかを説明して下さい。歯の保存状態がよければ100%治療は成功します。
もう大丈夫!安心してください
お父さんお母さん、付き添いの方は安心してください。そして子供ににっこりしてあげてください。子供は歯が抜け血がでて不安でいっぱいです。周りの不安な顔を見るとますます動揺し泣いて治療に非協力的になります。
歯と患部を洗浄し、止血します。
保存液のなかで歯の汚れをとります。患部を洗浄し傷の中の異物を取り除き止血します。エックス線で骨折の具合を調べます。
歯を戻します。
抜けた歯の神経の治療をして戻すこともあります。こどもで歯が未完成の場合は血管や神経が再生する可能性が高いので神経は残します。左の症例では神経を抜きました。
固定
左の症例では、骨が折れて唇のすじも裂けていたので7針縫いました。その後、歯と歯肉全体を薄いプラスチックのカバーを作成し保護します。これで骨折した部分は治り食事中も安心です。骨折のため歯の元の位置が不明なので、理想的な位置に歯を固定しました。
経過観察
1週間から2ヶ月の間に抜糸して固定をはずします。必要に応じて歯の神経の治療します。1年後に再び神経の治療をすることもあります。また、歯が変色したら漂白します。エックス線で歯や骨の治り具合を追っていくことが重要です。
Copyright © 2000 -
· All Rights Reserved FUKAGAWA DENTAL OFFICE