
これから抜歯してインプラント体を埋入します


一本のインプラントを入れることで天然の歯と同じように噛むことができます

今までは入れ歯を入れていた部分もインプラントで置き換えられます

総入れ歯をしっかり固定することができます

※ここに掲載している画像はITI社から使用許可を得ております
| 1. 治療計画 |
![]() |
2. 手術 |
![]() |
| 3. 骨と結合 |
![]() |
4. 骨の型採り |
![]() |
| 5. 歯の装着 |
![]() |
6. 定期健診 |
![]() |

インプラント埋入時期により、以下の治療方法があります。
もちろん、患者さん 一人一人に合わせた治療方法を相談・提案させていただいております。
診療の際はもちろん、
お電話でもご相談ください。
〒236-0031
横浜市金沢区六浦5-1-16
電話:045-785-3355
FAX :045-785-3310
Copyright © 2000 -
· All Rights Reserved FUKAGAWA DENTAL OFFICE
抜歯後すぐにインプラントを埋入する方法です。腫れも痛みもほとんどありません。抜歯即時埋入法は、条件が揃えばより審美的な結果が得られる術式です。この方法を行うには、骨が十分にあることや抜歯する部位の歯肉があること、口腔衛生状態が良好であることなど即時埋入できるかどうかいくつかの条件があります。手術から1~2月程度で歯が入ります。



抜歯後、6~8週間の治癒経過を待ってからインプラント手術を行います。この方法は、失われた歯肉や骨をある程度回復させることが可能です。重度の歯周病の場合は、抜歯後、歯肉の治癒を待ってインプラント埋入をします。
抜歯したばかりで大きな穴が開いています
歯肉の治りを待ちインプラントを埋入します
アバットメントを入れたところです
歯が入りました
インプラント埋入手術の1回のみでインプラントを埋める方法です。患者さんへの負担が少なくすみます。埋入直後から粘膜を貫いて口腔内にインプラントの一部が露出します。したがって、上部構造の連結時に二次的な手術を必要としないという大きな利点があります。
歯肉縁上1回法の欠点としては、治癒期間中に初期感染のリスクがあり、また、外力を受けインプラントが動揺を起こす可能性があります。



インプラントが骨に生着するまで待ち、(数ヶ月かかります)
アバットメントに被さる人工歯冠を作製し、装着します
インプラント埋入後、一定の治癒期間を待ってもう一度歯肉を切開し、上部構造を合わせていきます。歯肉縁上1回法に比べ、手術が1回追加されます。
埋入手術後、インプラントは粘膜下に完全に被覆されるため、初期感染や外力によりインプラント体の動揺が起こるといった初期問題は少ないです。2回法の場合は初期的問題のリスクは少ないのですが、二次手術後、上部構造・インプラント連結部が骨レベルに近接するなど長期的な問題が多く発生する可能性があります。



骨に生着するまでインプラントを安静にして待ちます
(数ヶ月かかります)
インプラント頭部にヒーリングカラーを装着します
ヒーリングカラー
周囲の歯肉が治癒したら、アバットメント(人工歯冠の土台になるパーツ)に取り替えます
アバットメントに被さる人工歯冠を作製し、装着します
人工の膜を用いて骨を増やす処置を行う手術です。インプラントを埋入したい部位の骨量が少なく骨が痩せてしまっている場合に、骨造成剤を入れ人工的に骨を造る処置になります。
上顎臼歯部の歯槽骨からアプローチしてインプラントが入る場所を確保する方法です。上顎洞底粘膜を挙上し、洞底部の骨量を増やし、骨質を改善するとともに、インプラント埋入を可能にする上顎洞底骨造成法です。この方法は上顎のみに適応され、上顎臼歯部の骨量が少ない場合骨造成剤を用いて、インプラント埋入可能にします。

上の奥歯を抜歯しました。抜歯した部分の骨が無くなりくぼんでいます。

CTで調べるとインプラントを埋入する骨の量が足りません。 歯肉側の骨も失われていることがわかります。

歯肉側にはGBR法、上顎洞底部はソッケトリフトを併用して足りない骨を作ります

インプラント体が3本入りました
頭蓋全体のCTでインプラント埋入可能な部位を検討します
下顎のCTで骨の幅と埋入部位を決定します

デンタルCT 3DX装置ではより精密な検査が可能になりました

デンタルCTで上顎洞までの骨の厚みが正確に分かり安全に手術が行えます
手術部位の骨の状態に合わせた様々な形と太さのインプラントがあります
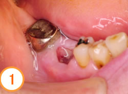
下顎の奥歯が1本ありません
レントゲンで欠損とその周囲の状態を調べます
埋入するインプラントを決定します

手術時間は30分程度でした

インプラントのX線像

セラミックの歯が入り良く噛めるようになりました

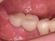
下顎右側の臼歯2本がありません
初診時のX線像です

2本のインプラントを埋入しました

手術後のX線像です

2本の白いセラミック冠が入りました
入れ歯でなく自分の歯と同じように噛めるようになりました

リコール時のX線像です
