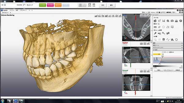
コンピュータ断層撮影(CT)は、放射線などを利用して物体を走査しコンピュータを用いて処理することで、物体の内部構造を画像として検査します。インプラント治療に際しては単純エックス線撮影よりも多くの情報を得ることができ、事故を未然に防ぐことが可能です。
このようにCT検査は顎・顔面・口腔領域の解剖学的構造物を3次元的に明確に提示し術前のシミュレーションできるので、治療計画の立案に際しインプラント治療の精度を高めます。インプラントと下顎管や上顎洞底との位置関係が分かるので医療安全の面でもCT撮影は重要です。
当医院のCTは、従来と比べ約24分の1 のX線量で撮影できます。X線量を抑えることで被ばくを減らし体に優しいCT検査が出来るようになりました。
骨内部の神経や血管の位置と走行やインプラント埋入部位の骨幅、骨質の状況が正確に診査・診断できます。



Copyright © 2000 -
· All Rights Reserved FUKAGAWA DENTAL OFFICE